来源:厦门口腔医院 编辑:麦芽口腔连锁 关注[ 2072 次] 时间:2019-10-20 联系电话:[ 0592-3699130 ]
导读:缺牙患者沈先生 缺牙3年,吃饭必塞牙,苦不堪言!种牙10分钟,不痛也不恐怖,牙齿坏了一定要赶紧种上! 10月20日上午,37岁的沈先生在厦门麦芽口腔医院成功种牙,麦芽口腔第三届...
缺牙3年,吃饭必塞牙,苦不堪言!种牙10分钟,不痛也不恐怖,牙齿坏了一定要赶紧种上!

10月20日上午,37岁的沈先生在厦门麦芽口腔医院成功种牙,麦芽口腔第三届数字化精准种植牙直播活动圆满落幕。
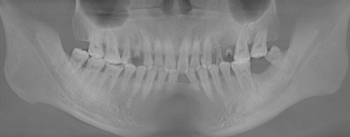
种植前CT

种植前,通过CT可以清晰看到,沈先生的口腔健康状况并不好,多颗蛀牙,左下7号牙缺失,缺牙处牙槽骨已经开始吸收。
在厦门麦芽口腔医院,数字化种植牙中心的主治医师陈海滨医生,运用数字化精准种植牙技术,在十分钟内,便成功为沈先生种好一颗牙。
并且直接配上愈合基台,不用再进行二期手术,避免牙龈二次切开,减少了种植牙手术遭受的痛苦。3个月后,沈先生便可直接进行牙冠修复,完成缺牙重生。
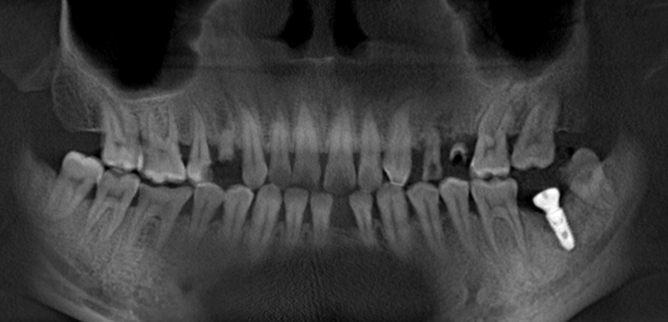
种植后CT

种植牙关键之处在于医生的技术与经验,种植体植入的方向、位置、角度、深度等,都有严格的要求,经验丰富的种植医师可以将种植体植入到理想的位置,手术成功率更高、安全性更高,效果也更好。

种植手术完成后,陈海滨医生回到活动现场,叔叔阿姨们都迫不及待开始向陈医生提问——
1、3年前吃猪蹄,把牙齿咬裂了,牙根还是好的,可以做种植牙吗?
陈海滨医生:
这要先进行拍片,看牙根还能不能继续保留,牙根可以保留,就做根管治疗,然后做个牙冠保护起来;牙根不能保留就拔除然后做种植牙。
咱们牙齿肯定是天然牙好,口腔诊疗也是以微创为宗旨,尽量保留自己的天然牙。
2、听别人说种植牙很恐怖,我在现场看了直播感觉还行,应该不会很痛吧?还有我心脏不是很好,可以做种植牙吗?
陈海滨医生:
相比拔牙来说,种植牙的创口更小,是闭合型的,而且手术前会打麻药,咱们现在用的都是进口麻药,针头非常细,就像被蚊子咬了一下,几乎没有痛感;种植过程人是清醒的,可以感觉到医生在做什么,但是没有痛感。
现在医疗技术一直在发展,高血压、糖尿病,以前都不敢种牙,现在通过药物控制好,检查后符合种植牙的条件,也是可以进行种牙的。

3、看直播做的是切开的手术,可以做环切吗?
陈海滨医生:
环切的优势是只要切开一个约5毫米的牙龈创口,微创,而且不用缝合,但是骨组织宽度高度要符合条件,牙龈量也有要求,牙龈量不足的话细菌抵抗力会降低,容易造成感染,这都需要进行拍片和口内检查才能确定。
4、我听说种植牙也有失败的?要是失败了该怎么办?
陈海滨医生:
种植牙手术现在成功率在97%左右,失败的主要原因一般是护理不当。种植后需要患者配合进行日常维护,每天漱口、刷牙、使用牙线,做好口腔清洁,每年复诊进行口腔检查。种植牙失败的话可以再进行二次种植。
陈海滨医生特别强调,种植牙虽然是一项小手术,但是对手术室的要求同样很高,手术室的无菌环境,是种植成功与否的重要因素之一。
因此,找正规的口腔医疗机构,找专业的种植医师,可以大幅提升种植牙成功率。



种植直播活动不仅给缺牙的叔叔阿姨们科普口腔知识,每一期活动,麦芽口腔都送出一份实实在在的礼品,精选的大米、花生油、养生壶,一口好牙才能好好吃饭,才能真正享受生活!

为了让更多人种上好牙,厦门麦芽口腔医院也向种植牙厂家争取了一系列福利,减免叔叔阿姨们的种植牙成本,切实铸就鹭岛市民的健康好口福!
另外,麦芽口腔·双11年度特惠明日将正式开始。原价6000元的韩国进口种植体,活动期间秒杀价1111元,全年最低价,错过再等一年,数量有限,先到先得!

报名方式 1:电话报名
直接拨打爱牙热线:0592-3691111进行报名
报名方式2:公众号报名
关注【厦门麦芽口腔连锁品牌】公众号
点击菜单“优惠活动-活动报名”进行报名
活动详情可拨打爱牙热线:0592-3691111进行咨询。


全国免费预约热线 0592-3699130医院地址:思明区湖滨东路6号华龙大厦(厦门火车站正对面200米)
免费停车场(提供预约看牙的手机号可找保安领取免费停车卡)
