来源:厦门口腔医院 编辑:麦芽口腔连锁 关注[ 1850 次] 时间:2019-09-29 联系电话:[ 0592-3699130 ]
导读: 9月28日上午,麦芽口腔第二届种植牙直播暨答谢会圆满成功! 今天接受姚江武院长亲自种植的患者陈女士,35岁,两侧各有一颗牙齿缺失多年,近几年开始重视口腔健康,关注牙齿种...

9月28日上午,麦芽口腔·第二届种植牙直播暨答谢会圆满成功!

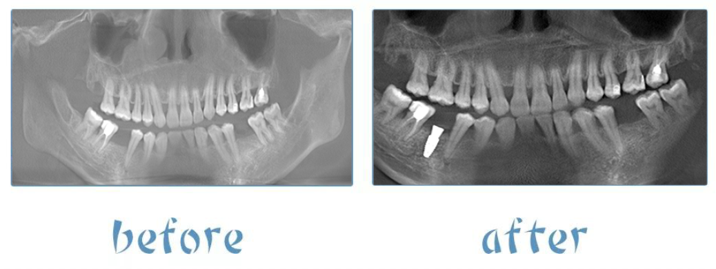
今天接受姚江武院长亲自种植的患者——陈女士,35岁,两侧各有一颗牙齿缺失多年,近几年开始重视口腔健康,关注牙齿种植。

由于缺牙时间长,牙槽骨出现萎缩,骨头厚度薄,种植难度较大,姚江武院长使用全程导板,精准微创种植,5分钟快速完成种植牙手术 ,让张女士实现了缺牙重生的夙愿。
缺牙是一件既难看又难受的事
那么问题来了,本来牙齿好好的
是什么原因导致你缺牙的呢?
你是为什么缺牙的?
缺牙无非这6个原因——
1、龋病
蛀牙后不及时治疗,造成牙冠缺损严重,不得不拔除,并引起邻牙龋坏,导致多颗牙齿缺失。
2、牙周病
牙周组织逐渐被破坏,牙槽骨吸收,牙齿松动,造成多颗牙齿脱落或因无保留价值而拔除。
3、年龄增长
牙周组织发生生理性退变、牙龈萎缩、牙齿脱落,但这不是缺牙的主要原因,“老掉牙”是可以预防的。
4、疾病
一些全身性疾病如颌骨的骨髓炎、肿瘤等,会导致牙齿缺失。
5、咬过硬的食物
咬过硬的食物,对牙齿和颞下颌关节都有严重影响,可能导致牙齿缺损或缺失,更别说有人喜欢用牙开啤酒瓶了!
6、外伤导致牙齿缺失
一些激烈的运动或意外,都可能导致牙齿受伤折断脱落,主要发生在前牙。

缺牙之后你是怎么做的?
刚开始
不习惯,感觉空空的,经常用舌头去舔一下缺牙的位置。
渐渐地
慢慢适应,缺牙也就那样,补不补无所谓~
然后
换一边咀嚼就行了,不影响吃饭。
接着
牙槽骨萎缩,邻牙松动,逐渐脱落的牙齿越来越多。
另外
影响美观,影响发音,影响身心健康。
最后
多颗牙脱落,好吃的吃不了,变相“挑食”,没办法咀嚼,影响消化。
你还眼睁睁看着牙齿逐渐松动脱落吗?
种植后更重要的是维护
关于种植牙的优点,麦芽君已经科普过许多次,活动中,负责讲解种植牙直播的种植科主治医师——陈海滨医生一再强调,种植后,更重要的是自己的维护。
种植牙最长使用寿命的世界纪录目前仍由瑞典人Sven Johansson保持,Johansson先生如今身体依然健康,这标志着使用寿命高达50年的种植牙世界纪录,每天都在刷新!

麦芽首例士卓曼数字化导板种植
此次接受姚江武院长种植手术的陈女士,是厦门麦芽口腔医院首例瑞士士卓曼数字化导板种植。
种植体选用的是瑞士士卓曼研发的“瑞锆”种植体,表面处理好,加速成骨,一般种植体需要三个月后进行牙冠修复,瑞锆种植体则在一个月到一个半月后即可进行取模修复。
姚江武院长则使用数字化全程导板,精确控制种植体的植入方向与深度,使手术过程更安全。
把先进技术用在中国人身上
现场有慕名而来的患者问到,种植导板有什么优缺点?
数字化种植导板有分半程导板、全程导板、多颗、单颗、国产的、进口的,优点是安全、精确,可以减少甚至不用植骨,缺点是需要支付厂家制作导板的费用,越复杂的导板,制作费用越高。
至于导板的费用问题,姚江武院长特别强调,医生应该关注的是技术。收取的导板费用,全部用于支付厂家的制作费用。
姚江武院长所希望的是将国外先进的技术、材料、设备,推荐给中国人,让每个家庭都能享受到麦芽品牌全球化的医疗成果,衷心希望每个人都能拥有一口健康好牙!


全国免费预约热线 0592-3699130医院地址:思明区湖滨东路6号华龙大厦(厦门火车站正对面200米)
免费停车场(提供预约看牙的手机号可找保安领取免费停车卡)
