您现在的位置是:主页 > 新闻动态 > 麦芽资讯 >

公益大讲堂第11课,我院荣获瑞士盖氏生物材料公司“杰出合作伙伴”单位

来源:未知 编辑:麦芽口腔连锁 关注[ 11596 次] 时间:2021-07-30 联系电话:[ 0592-3699130 ]

导读:公益大讲堂第11课,我院荣获瑞士盖氏生物材料公司“杰出合作伙伴”单位...

许多缺牙的市民都面临这样的烦恼:天天吃流食、软食,营养跟不上,浑身没劲;佩戴活动假牙,硬的不方便咬,嚼不烂又不方便咽,异物感很强、牙龈被磨痛……还有一些市民的疑惑是,年纪大、缺牙时间久、缺牙数量又多、口腔状况复杂、是否真的无法再大饱口福了?是否有短时间内更快、更好恢复咀嚼的方法呢?

到底如何才能快速拥有一口想吃就吃的好牙?如何做好口腔卫生保健?种植牙怎么种才更快速、精准?为更进一步促进市民对缺牙的正确认识,提高爱牙护齿意识,同时让广大市民打消对种植牙的顾虑,更加清楚地了解数字化种植牙,和传统种植牙的区别。



麦芽口腔公益大讲堂第11课,由原厦门市口腔医院院长姚江武教授做种植直播,并主讲如何能快速恢复良好咀嚼,让种牙更加精准,舒适化,现场直播种牙全过程,并为市民所关心的种牙问题进行答疑解惑。


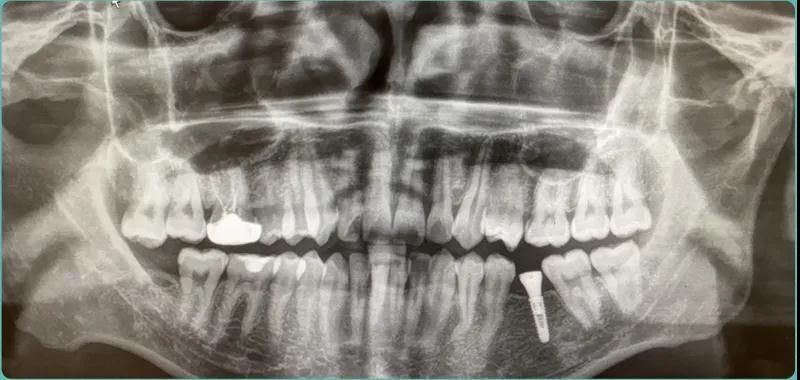
种植嘉宾术前资料介绍,年龄27岁,种植左下颌6号牙。


毕业于四川华西口腔医学院的刘德博士讲解术前消毒准备工作,麦芽口腔的术前消毒工作严格按照规范操作流程进行,为顾客安全种牙,安心种牙提供保障。

姚江武院长为患者进行种牙直播,种一颗牙仅需要5分钟就完成了,种牙顾客来到现场,分享种牙感受。



种植顾客表示:“一个字,快!还没等我反应过来就种好了,全程没什么感觉,一点也不痛。”


我院荣获瑞士盖氏生物材料公司“杰出合作伙伴”单位,盖氏中国区域经理陈先生表示 “选择麦芽口腔作为合作伙伴是因为麦芽口腔医院的资质过硬“。麦芽口腔是一家全国连锁的集团化口腔医院,已有6年发展历史,由原厦门市口腔医院姚江武院长领衔麦芽博士专家团,以四川大学华西口腔医学刘德博士领衔的种植专家团, 以第四军医大学王欢博士领衔的正畸专家团,以中国医科大学、日本九州大学马红梅博士领衔的美学修复专家团,领衔着百余名医护人员,守护着鹭岛市民口腔健康。在今年,麦芽口腔医院更是荣获福建省卫健委、教育厅评审认定,在多家医院中脱颖而出,正式成为厦门医学院临床教学医院。

 
姚江武院长解释道:盖氏,是一家生产生物材料的公司,始于1851年的百年瑞士家族品牌,始终致力于再生医学领域的研究。从研究到生产,100%瑞士制造。为口腔医院提供骨粉骨膜,种植牙在拔除残根后,通常会有一个凹槽,这时候就需要适当填充一些骨粉和骨膜,来保证种植体的稳固。
 
所以这次能与盖氏公司合作,证明了麦芽口腔资质过硬的同时,也是对麦芽口腔的一种认可。



在今后,麦芽口腔继续秉持着“以技术为核心 ,以公益树品牌”的初衷,麦芽口腔的博士专家团们不断的在技术上精益求精,严谨负责任的对待每一位顾客,让他们远离口腔之病痛。

厦门麦芽口腔连锁专家“专注美齿,视手术为艺术”,每一细节都力求完美,麦芽口腔严格执行符合世界牙科联盟(FDI)的诊疗标准,采用先进的诊疗设备及高端材料,并严格遵循8个"1"无菌诊疗模式:一人一诊室一治疗室一医一助一机一用一消毒,让患者能在私密舒适的诊疗环境下享受特殊的无痛治疗技术。



高品质在线咨询,及时咨询在线专家

输入您的电话号码,点击可享受免费通话

专家团队

  • 郑苍尚 厦门麦芽口腔医院特聘专家
    郑苍尚

    麦芽口腔品牌连锁总院长
    深圳市第二人民医院原口腔科主任

    详情了解
  • 马瑞茜 麦芽口腔修复医师
    杨超

    英国Dr.Wyman Chan 美白认证医生
    中华口腔医学会会员

    详情了解
  • 陈海滨 麦芽口腔种植科医师
    龙银芳

    中华口腔医学会会员
    中华口腔种植专科会员

    详情了解

您要咨询的问题

全国免费预约热线 0592-3699130

医院地址:思明区湖滨东路6号华龙大厦(厦门火车站正对面200米)


免费停车场(提供预约看牙的手机号可找保安领取免费停车卡)

界面
扫描最新优惠 手机随时咨询
厦门口腔医院 厦门口腔医院
(C)2010-2020 麦芽口腔连锁 闽ICP备18028217号

版权所有 厦门麦芽口腔医院|【网站地图】